Advantages of MASPE zero
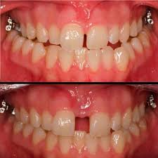
MASPE zero can be an effective solution to treat the root cause of airway issues, TMJ pain, mouth breathing, and bite dysfunction. By integrating MASPE and clear aligner therapy simultaneously, patients can expand their palate without unsightly gaps between their front teeth.
MASPE zero is a lot more than an expander. It is a protocol to correct airway problems and create a comfortable bite. Our patients can breathe better, sleep better, look better, clench their teeth less and have less jaw pain and neck and back tension.
MASPE zero protocol:
- “Screws-first” customized bandless MASPE designed by Dr. Adams
- Clear aligners to move the teeth at the same time the skeletal palatal expansion is done. This is how we get a larger palate, and minimal (“zero”) teeth gaps.
- Myofunctional Therapy to correct the function of the soft tissue that forms the upper airway. For example tongue posture needs to be in the palate at rest and during sleep or the airway will still collapse.
- Diagnosis and release of tethered oral tissues (TOTs) including tongue ties, lip ties and buccal ties. The musculature can be the root cause of why our jaws, teeth and faces did not grow correctly to begin with and why we are not breathing properly and clenching our teeth now. TOTs can also contribute to facial asymmetries and head, neck and jaw tension.
MARPE Expansion Procedure:
Traditionally, MARPE is done in two phases:
- Phase 1: MARPE expansion
- Phase 2: Braces or Invisalign to move teeth

We aren’t a fan of this approach for a couple of reasons:
- MARPE expansion is RAPID expansion. Patients report RAPID expansion can be uncomfortable and painful.
- It’s cosmetically undesirable. Who wants to walk around with a giant gap between their front teeth?
- It requires quite aggressive orthodontic movements after expansion to close the gap between the front teeth and move the other teeth around.
Dr. Adams’ MASPE zero protocol:
SLOW expansion is better than RAPID expansion because:
You are more likely to:
- Expand the palatal suture without surgical intervention or corticotomy.
- Get symmetric expansion.
- Get uniform palatal expansion.
- Be more comfortable and experience less pain during expansion.
You are less likely to:
- Cause deformation of the cranial bones during expansion.
- Cause additional facial asymmetries.
- Have complications such as loose tads, unwanted sutures opening, pain when expanding.
Example of custom MASPE zero appliance.
Our custom Bandless MASPE design is anchored directly to the palate and not to the teeth.
Dr. Adams’ “screws first” protocol is done in 3 phases:
1) Design plan for TADs (mini-screws) and insert screws with laboratory made guides.
2) Rescan the mouth after TADs are inserted to have custom MASPE fabricated.
3) Insert custom MASPE
With this approach. We are able to fabricate a custom bandless MASPE appliance that fits “lock and key” onto the TADs. With a lock and key fit. Palatal expansion can be precise without the waffling around of TADs that can occur with a “screws last” MARPE design. The MASPE zero is usually much smaller since there is not connection to the teeth. This allows for proper tongue posture and the ability to do Myofunctional Therapy during treatment.
What is MASPE?
MASPE stands for mini-screw assisted slow palatal expansion. MASPE is a cutting-edge orthodontic technique specifically designed for children and adults who require a large amount of expansion of the upper jaw (palate). Unlike conventional palate expanders, the MASPE appliance uses mini-screws anchored directly into the palate instead of anchoring to teeth.
MASPE vs MARPE: Which is better?
MARPE stands for mini-screw assisted rapid palatal expansion. There are studies that show why slow palatal expansion is superior to rapid palatal expansion. With slow expansion vs rapid expansion, you are less likely to get deformation of cranial bones and more likely to expand the palatal suture without surgical intervention (corticotomy).
Clear Aligners: Invisalign and SPARK
Unlike traditional braces which you can spot a mile a way, clear aligners allow patients to get the orthodontic treatment they need without the unsightly metal brackets. In our office we prefer SPARK because Dr. Adams feel the functionality of the SPARK system lends itself better to his MASPE expansion treatment. Also, patients report the material of the aligners themselves is more comfortable and transparent. Incognito all the way.
Additional Health and Comfort Benefits
By combining MASPE and SPARK clear aligners, MASPE zero delivers more than just aesthetic improvements:
- Enhanced Jaw Size and Shape: Expanding the palate increases jaw size and reshapes dental arches, creating more space for teeth alignment. This results in improved oral function, better facial harmony, and often a more balanced, attractive appearance.
- Better Nasal Breathing: MASPE increases the nasal bone (the palate is the bottom of the nose) and can dramatically improve nasal breathing and nasal obstructions.
- Improved Airway: By increasing the size and shape of the upper jaw, MASPE expansion combined with Myofunctional Therapy can open and enhance the airway. This improvement often leads to better breathing, reduced snoring, less teeth clenching, and improved sleep quality.
- Healthier, More Comfortable Bite: Teeth in a proper bite alignment reduces abnormal wear patterns, lessens teeth clenching, and can notably reduce symptoms associated with temporomandibular joint disorders (TMD). Patients frequently report reduced jaw pain (TMJ pain) and fewer headaches.
MASPE zero vs. Traditional Orthodontics and Surgical Options
Surgical interventions such as SARPE, MMA, or DOME require longer recovery periods, carry higher risks, and may not simultaneously address dental aesthetics. Surgery can address structural problems. MMA can be particularly beneficial when a lot of forward growth is needed. Patients who require MMA usually need MASPE/MARPE treatment first since MMA goes forward but does not widen the palate. Dr. Adams will advise patients who need forward a lot of forward growth that MMA may be necessary. Many of our patients get the benefits from MASPE zero and do not end up needing MMA to meet their treatment goals. We feel like the Myofunctional Therapy and release of tethered oral tissues is what really makes the functional difference. Making a mouth bigger will not translate automatically into better breathing and sleep.
Ready to Experience Comprehensive Orthodontic Care?
Contact our office today to discover how MASPE zero can help you.
